Skolyoz

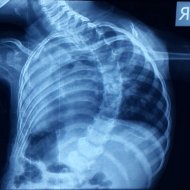
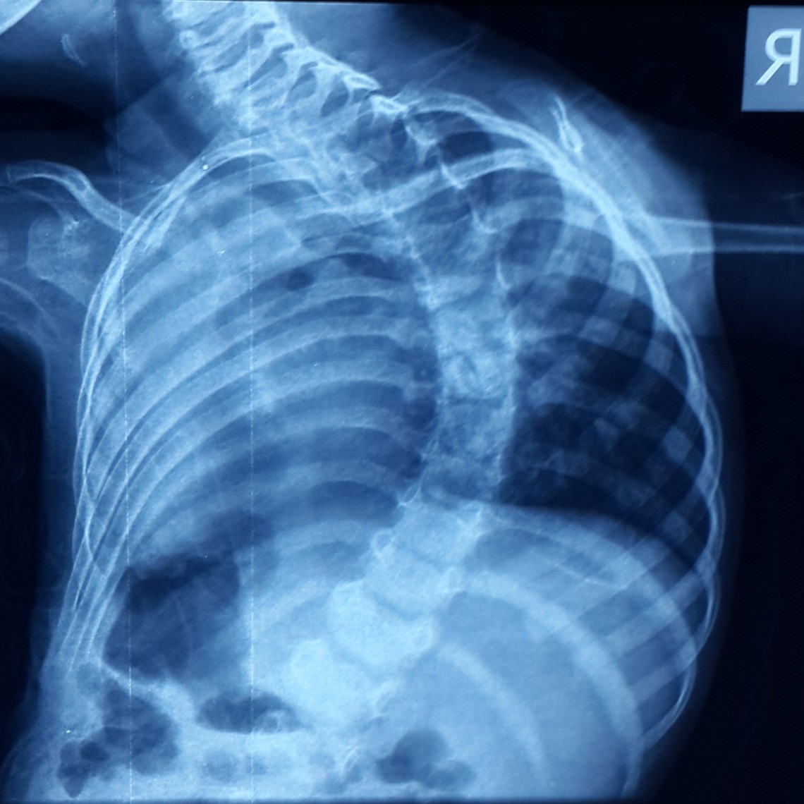
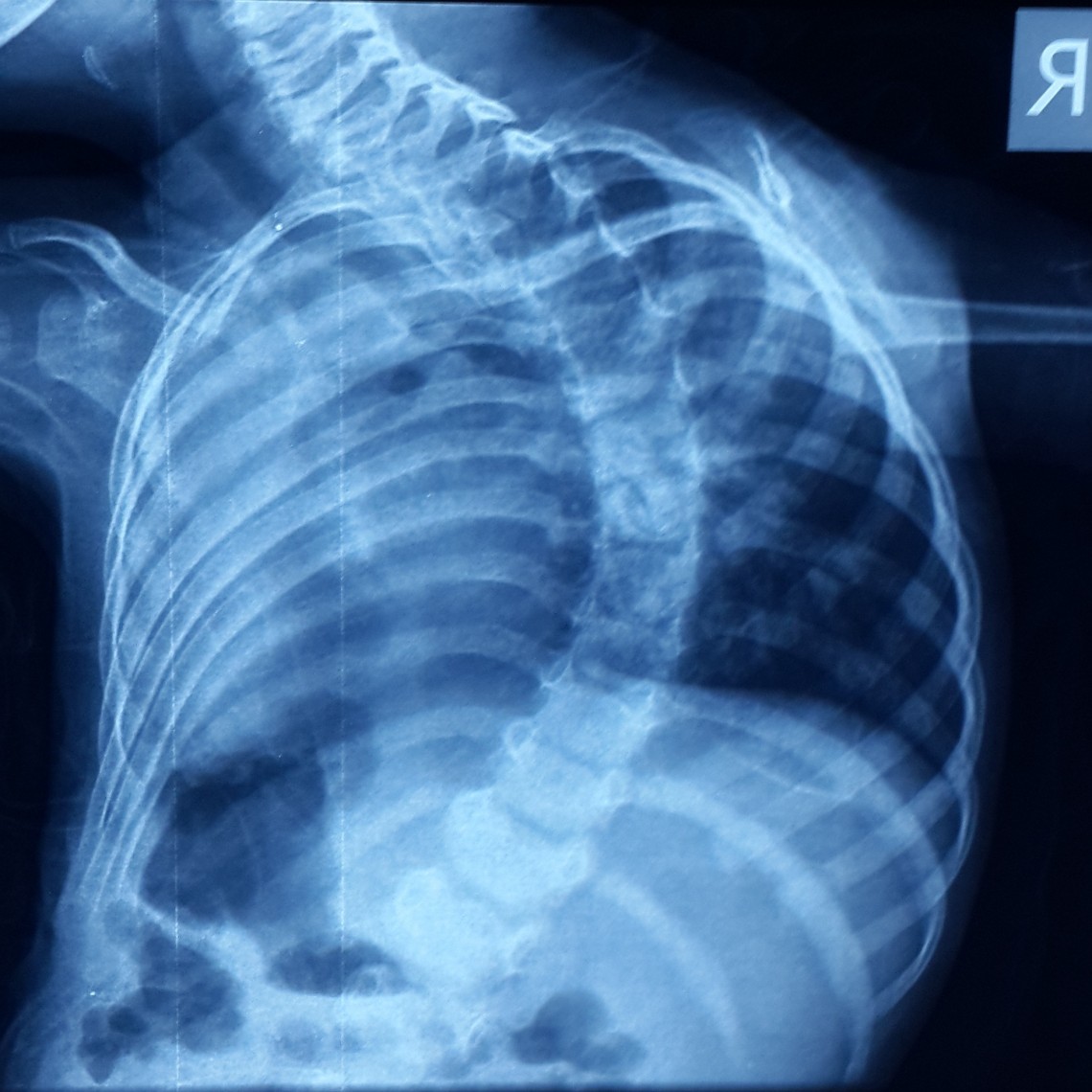
Normal insan anatomisinde gövdeye yandan bakıldığında bazı eğrilikler vardır. Örneğin sırtımızda dışa, boynumuz ve belimizde içe doğru kavis mevcuttur.  Ama ön –arka düzlemde bakıldığında omurgamız dümdüzdür ve herhangi bir dönüklük yoktur. Skolyoz ön arka planda omurganın S yada C şeklinde olması ve beraberinde dönüklük olması durumudur. Skolyozlu hastalarda bu olağan dışı eğrilik nedeniyle omuz asimetrisi,  kaburga kamburluğu, gövde kayması, bel kavsi asimetrisi görülebilir. Skolyoz bir tanı değil, tanımlayıcı bir kelimedir.  Olguların %80’inde nedeni belli değildir ve bu tipi “İdiyopatik Skolyoz” olarak adlandırılır. Daha çok ergenlik çağının hemen öncesinde ya da başlangıcında görülür.  Diğer tipleri; bazı omurların anne karnında oluşum bozukluğuna bağlı “Konjenital Skolyoz”, nörolojik bozukluklara ve kas hastalıklarına bağlı “Nöromuskuler Skolyoz”, farklı sendromlara bağlı “Sendromik Skolyoz” olarak sayılabilir.

Farklı tipte skolyozu olan hastaların ameliyat öncesi ve sonrası fotoları: